

近日,上海市东方医院肿瘤科周彩存教授团队成功为一名高龄、肺功能基础差且病灶紧贴心脏的肺癌患者成功实施了机器人辅助下经皮穿刺消融手术。
今年77岁的陈老伯,其实是一位刚走下手术台不久的“抗癌老兵”。一年半前,他才经历了一场前列腺癌根治术。然而,在最近的一次术后随访PET-CT检查中,医生发现他左肺上叶那颗原本“沉睡”的结节突然代谢增高,这意味着:“(第二原发)恶性肿瘤”,也就是我们常说的“双原发癌”找上了门!
虽然陈老伯的肺部病灶尚属早期,若能精准消融即可根治,但是这个病灶紧邻心脏——“心缘旁病灶”的传统消融因易损伤心脏及大血管,风险极高,常让医生望而却步。面对“常规手术风险太大、传统消融CT复扫次数多易发生并发症等风险”的困局,陈老伯在家属的陪同下辗转求医,最终求助于上海市东方医院肿瘤科周彩存教授团队。
周彩存教授团队在充分评估后认为,病灶虽不大,但位于心脏旁“生命禁区”,临近重要心脏结构和大血管、大气道,任何物理局部处理手段都有一定的风险,必须实现亚毫米级精准穿刺与消融,方能兼顾安全与疗效。为此,团队决定启用穿刺手术导航定位系统(以下简称RC120),凭借其“CT影像与智能传感一体化”技术,解决传统定位方式的痛点,为陈老伯的肺部诊疗的微创化提供了更精准、更安全、更便捷的选择。

手术开始,患者仰躺在CT床架上,胸部随着肺部的呼吸起伏,心脏也在持续有力地搏动,这也让进胸膜的第一针显得尤为关键。经过术前精心准备,在影像中心支持配合下,团队成员在RC120机器人的智能导航下,操作一根特制的 “爪针”(射频消融针),精准送达左肺上叶病灶中心。因系统实时感知并同步补偿因呼吸、心跳造成的器官位移,实现“一针到位”,且全程避开心脏及大血管。操作期间团队严密监护患者心电与生命体征,严防心脏损伤。
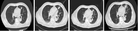
从手术开始到结束,仅耗时35分钟。陈老伯安返病房,生命体征平稳。术后陈老伯状态良好,CT显示病灶区域密度增高,消融范围完美覆盖了病灶,而周边的肺组织安然无恙。
消融前、消融中、消融中、消融后一天
新民晚报记者了解到,陈老伯的“完美闯关”并非偶然,这一看似轻松,实则充满高风险的机器人导航手术的背后,是科室近年来在微创介入技术与多学科建设上的持续积累——数月前,上海市东方医院肿瘤科、微创介入治疗中心正式获批成为“中国医师协会肿瘤消融治疗技术培训基地”;而后,东方医院胸部肿瘤诊疗中心成立,领衔专家周彩存教授深耕肺癌靶向与免疫治疗领域,协同胸外科方文涛、呼吸科李强、微创介入科翟博等多领域专家,共同打造真正的“内外融合、打破学科壁垒”的多学科(MDT)诊疗高地。这一创新架构实现了从诊断、治疗到康复的全病程、一站式管理,确保每位患者都能获得基于多学科协作的个性化治疗方案。
原标题:《亚毫米级穿刺破局“生命禁区”,东方医院机器人技术精准消融紧贴心脏高危肺癌》
栏目编辑:左妍
本文作者:新民晚报 郜阳
图片来源:上海市东方医院