
口腔管家,呵护健康
静安区石门二路街道社区卫生服务中心口腔科门诊
总部位于山海关路456号,紧邻上海自然博物馆、静安雕塑公园,下设新福康、东王、郑家巷3个社区卫生服务站点,服务周边常住人口约2万人、楼宇流动白领约10万人。中心开设有全科、中医、康复、口腔、眼、耳鼻喉科、外科、心理咨询、体重管理、妇幼儿保、免疫规划等常规门诊,并有华山医院、华东医院、上海市中医医院、上海市第四康复医院、静安区精神卫生中心医联体专家每周下沉社区开展心内科、内分泌、痛风、康复、中医脾胃病等专科专病门诊。中心配备有全自动生化分析仪、数字化X线摄影系统(DR)、全景口腔摄片机、骨密度测定仪、彩超、中医四诊仪、脑电仿生电刺激仪、OCT、平衡测试与训练系统等康复训练设备。开放老年护理床位30张。
中心系上海市文明单位,首批全国示范社区卫生服务中心,上海全科医师规范化培养和中医类别全科医师岗位培训社区基地、上海市首批互联网社区卫生服务中心,全市首批社区卫生服务中心标准化口腔诊室。
本着“走进石门、如进家门”的宗旨,中心提供全方位个性化的健康服务,做健康守门人!

中心口腔科创立于1997年,就诊环境舒适,设施设备齐全,多年来培养了一支技术全面、结构合理的医疗团队。2023年,被评为全市首批社区卫生服务中心标准化口腔诊室。

1、开设周末门诊,解决上班族、学生族就医问题。
2、在楼宇中设置健康服务点,定期上门服务,守护白领人员的口腔健康。
3、针对患者需求开设儿牙、正畸、洁牙门诊。
4、口腔专科共建专家下沉。


1、牙齿美白
对于牙齿内源性、外源性染色、四环素牙、氟斑牙等通过医学药物手段无创安全有效的改善牙齿颜色,提升美观度。
2、儿童早期阻断性矫治
儿童颌骨和牙齿处于快速发育阶段,利用生长潜力,顺势而为,通过矫治器或功能训练调整骨骼生长方向,改善牙齿排列或咬合关系。预防复杂问题,例如地包天(反颌)、严重牙齿拥挤、口呼吸等,早期干预可避免骨骼畸形加重,减少成年后手术概率。其中,功能矫治器如Frankel、Twin-block等,通过调整肌肉功能促进颌骨正常发育。
3、无托槽隐形矫治器的核心优势在于美观、舒适和便捷。
透明材质几乎隐形,特别适合社交需求高或对形象要求严格的人群。其舒适度高,无金属托槽和钢丝摩擦,减少口腔溃疡风险,异物感较轻。此外,可摘戴的设计方便清洁牙齿和进食,维护口腔卫生更简单。
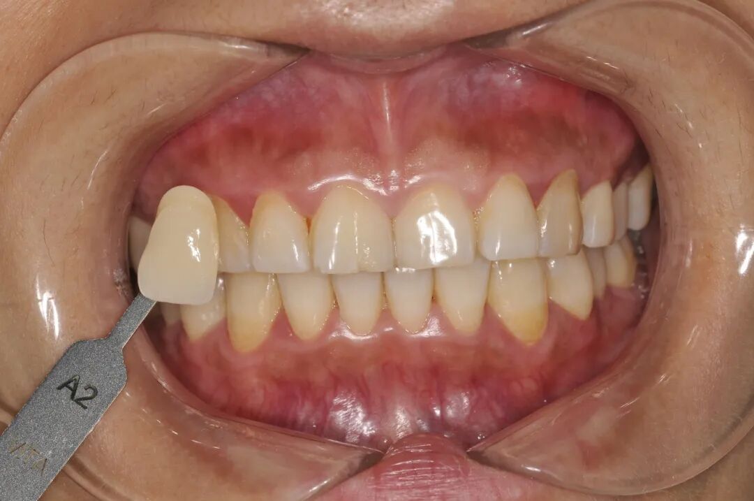
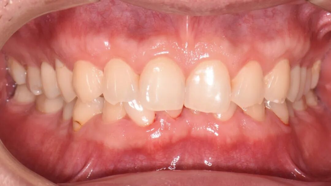
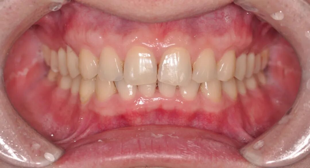
1、牙齿美白治疗
患者情况:女性患者,牙齿变黄染色数年余,影响其生活质量,前来就诊。
治疗方案:为患者进行相关检查后,进行诊室牙齿美白同时结合家庭美白,改善牙体染色,提亮牙齿颜色。


2、MRC肌功能治疗
患者情况:恒牙早期,上下颌前牙拥挤,上颌前突。安氏Ⅰ类,骨性Ⅰ类,均角,侧貌突。
治疗方案:MRC肌功能矫治器配合肌功能训练,纠正不良口腔习惯,改善恒牙早期牙列拥挤、上颌前突。


3、成人无托槽隐形矫正
患者情况:上颌前牙内倾性深覆合,下前牙拥挤。安氏Ⅰ类、骨性Ⅰ类,低角,侧貌可。
治疗方案:隐适美隐形无托槽矫正,改善前牙内倾、打开咬合、排齐上下颌牙列。


口腔科由四名高年资主治医师组成,开展以下服务项目:牙体牙髓治疗,各类牙齿的拔除、牙齿美白、牙周病的基础治疗、义齿修复(烤瓷冠、全瓷冠、固定桥修复体、可摘局部义齿修复、全口活动义齿修复、吸附性全口义齿修复)、儿童口腔检查、窝沟封闭、龋病预防,同时还开展儿童早期阻断矫治、青少年托槽固定矫正、儿童及青少年肌功能矫治及咬合诱导、青少年及成人的隐形矫正等。

口腔科门诊时间:周一至周五全天(上午8:00-11:30,下午13:30-17:00,夏令时下午14:00-17:00)、周六上午(8:00-11:30)
专家门诊时间:每周五下午
地址:静安区山海关路456号三楼
更多阅读☞
精准治疗,保髋护航!这个社区专病门诊把保髋技术送到家门口 | 社区特色门诊专栏
“睛”彩有约,健康相伴——石门二路街道社区卫生服务中心眼科专病门诊丨社区特色门诊专栏
口腔健康从“齿”开始,“家门口”即可享受优质口腔服务|社区特色门诊专栏
欢迎本市卫生健康工作者投稿,相关科普文章与视频等经所在科主任审阅后,投稿至单位宣传部门,经宣传部门提交“健康上海12320”。