
一次次攻坚克难,一次次妙手施治,
为健康筑牢屏障,为生命点亮希望。
瑞金人执精研之笔,
勇攀医技高峰
……
让我们一同回望
那些凝聚医技匠心、映照医者仁心的
精彩病例故事

点击图片阅读原文
老人高热不退,背后元凶竟是小猫?
67岁老人持续高烧半个月,体温飙至39℃伴全身剧痛,辗转多家医院却查无病因。瑞金医院感染科专家仅用3天时间,揪出罕见元凶——竟与家中三只猫咪有关!这是怎么回事儿呢?

点击图片阅读原文
今天,又一款新药落地!这类罕见病患者有了“救命药”
9月24日,在瑞金医院肾脏内科谢静远主任、张春丽医生现场用药指导下,一位先天性高草酸尿症患者罗先生(化名)在上海交通大学医学院附属瑞金医院海南医院(海南博鳌研究型医院)(下称瑞金海南医院)成功接受鲁玛司兰(Lumasiran)注射治疗,成为国内首位接受该创新药物治疗的患者。

点击图片阅读原文
被当作“类风关”治疗30年,直到双小腿大面积溃疡后才明确诊断
王阿姨30年前因关节变形被诊断为“类风湿关节炎”,长期服用小剂量激素治疗,但关节畸形并未好转。3年前,她因右股骨头坏死做了置换手术。一年半前,右脚踝外侧出现小片皮肤溃疡,外院诊断为“静脉曲张性溃疡”,但溃疡面积不断扩大,疼痛加剧,最终只能依赖轮椅出行。走投无路的王阿姨来到瑞金医院皮肤科郑捷教授的门诊。

点击图片阅读原文
“医生说了,我得生男孩才不会遗传这个罕见病!”
今年21岁的男孩儿楚岚(化名)来瑞金医院神经内科康文岩主任医师专家门诊就诊时,已经经受了15年的疾病困扰。楚岚身高172cm,体重62kg,不同于往常肌营养不良患者的瘦小状态,他显得“人高马大”,小腿又粗壮,故而这么多年被人忽略了疾病的可能。

点击图片阅读原文
今天,中国内地首例双腔无导线心脏起搏器植入成功!
今天上午,瑞金海南医院传来好消息:心内科吴立群主任团队成功为67岁的患者林阿姨植入AVEIR™ DR双腔无导线心脏起搏系统。这是中国内地首次应用这项全球领先的创新技术,标志着我国心律失常治疗迈入双腔无导线起搏新阶段。

点击图片阅读原文
12岁少女不痛不痒,一经发现肿瘤竟比拳头大!医生提醒:这些隐蔽症状要警惕
“孩子平常壮得像头小牛,感冒都没得过,哪曾想这次差点丢了命。”看着安安静静躺在病床上的女儿,小微(化名)妈妈心有余悸,“还好果断来了瑞金医院,还好有你们救命。”

点击图片阅读原文
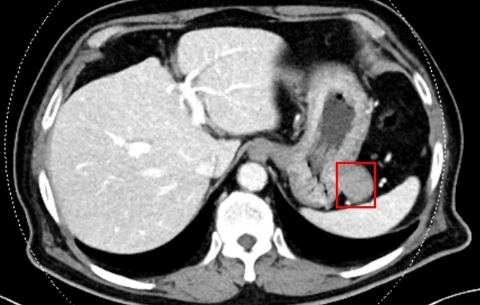
34岁女子体内深埋16颗肿瘤,如何精准手术“一键清除”?
婷婷(化名)今年刚刚34岁,她从小就患上了乙肝,长期服用抗病毒药,没想到,2024年7月乙肝随访检查时,她又被告知罹患“肝脏肿瘤”。随后的肠镜报告显示乙状结肠腺癌,就是它导致了婷婷的肝脏出现了多发转移病灶。

点击图片阅读原文
22岁的他为何执意切胃?家族三代的结,他揣了十几年
小轩(化名)的记忆里,父亲病来得快,人也去得快。9岁那年,31岁的父亲被确诊胃癌晚期,三个月后匆匆离世。更早的时候,爷爷也因同样的病倒下。家族两代人的悲剧,让 “胃癌” 二字像诅咒般刻进他的生命。

点击图片阅读原文
四个癌肿,一次全切除!医生提醒:胃肠多发肿瘤不罕见
普外科臧潞主任医师团队接过了这道“难题”。仔细研判患者病情后,最终决定“四个瘤,一次腹腔镜完成!” 这一决策依托于瑞金医院“消化道肿瘤一体化诊疗”的独特优势:胃肠外科、麻醉科、消化内科、放射科、肿瘤内科等多学科能够同步评估、无缝协作,从检查到手术方案,全程无需患者辗转,将风险降至最低。

点击图片阅读原文
瑞金医院成功完成国内首个双向远程国产机器人胃肠肿瘤手术研究
2024年12月~2025年3月期间,我院赵任教授团队与河北医科大学第四医院赵群教授团队携手,共同完成了国内首个胃肠道肿瘤领域的跨省双向远程机器人手术研究。本次手术利用国产高端手术机器人系统,跨越千里,在短时间内连续成功实施了15例远程胃肠肿瘤根治性切除手术,患者均顺利康复出院。

点击图片阅读原文
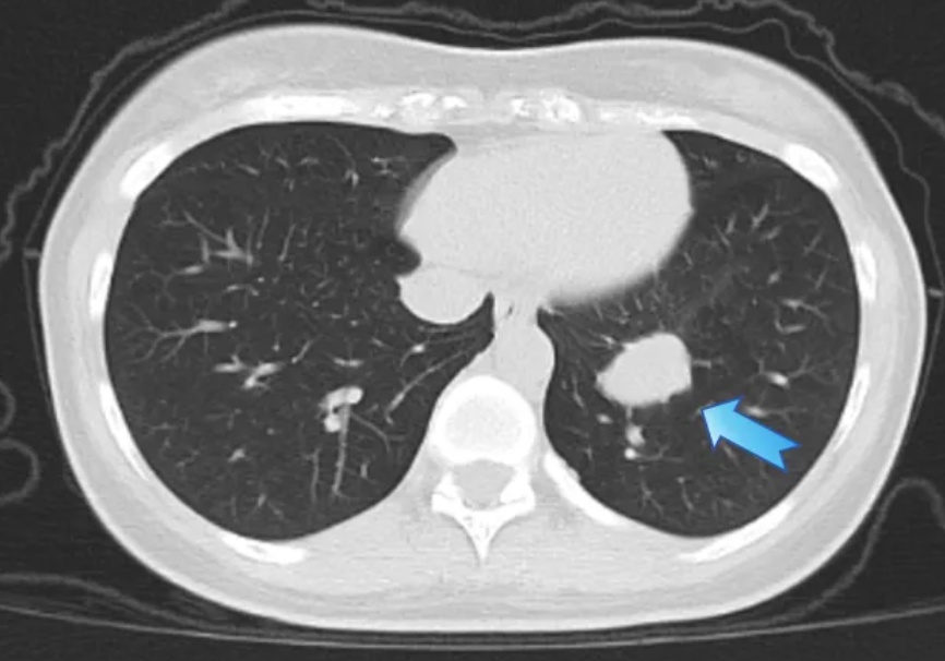
不用开刀?七旬老人"无痕"击退肺部结节!
3月5日,上海瑞金医院胸外科完成了一场特殊的手术——73岁的张伯躺在手术台上,医生用一根冷冻探针,就将他右肺深处的癌变结节精准击碎。这项名为"红袖刀"的国产冷冻消融技术,像派出了一支能在支气管里航行的"极地探险队",不开胸、不切肺,用-150℃的超低温将肿瘤细胞"冻毙"于体内。

点击图片阅读原文
8次化疗后胸腔肉瘤还在肆意生长、排球般巨瘤几乎占据一侧胸腔的她们怎么闯过这关?
当53岁的李阿姨经8次化免治疗,胸腔里10cm的滑膜肉瘤仍“纹丝不动”,还意外查出另一处癌灶;当73岁的郭阿婆胸腔被排球大的肿瘤压得肺不张、手术风险很高——这两个被判定“治疗难度极大”的病例,最终都在瑞金医院迎来转折。

点击图片阅读原文
12天生死逆转!20岁小伙突然变 "大白肺"命悬一线,瑞金团队这样破局→
能想象吗?20岁小伙的整个右肺,在短短几天内像被戳破的气球,完全“塌”了下去,从CT上看,变成了一片毫无生气的“大白肺”!这不是电影情节,是男生小洋(化名)在瑞金医院经历的真实生死劫。幸运的是,在骨科、放射介入科、呼吸与危重症医学科、重症医学科等多学科专家12天的联手抢救下,“消失”的肺重新“鼓”了起来,年轻的生命得以重启。

点击图片阅读原文
13岁男孩脊柱侧弯近150度,小“龙虾人”还有救吗?
8岁时,小禹(化名)的妈妈偶然发现,他的胸背悄悄凸起,当地医院诊断为脊柱侧弯,但症状比较轻。2年后,复查脊柱全长片,侧弯已加重,可依旧没有有效干预。随着小禹长大,“小山坡” 越来越明显,脊髓被扭曲的脊柱拽得紧绷,全身还散着淡褐色牛奶咖啡斑,这是一种遗传疾病——神经纤维瘤病的典型信号。

点击图片阅读原文
瑞金医院完成全国首次心脏不停跳下双心室辅助装置植入术
“谢谢瑞金医护们的全力救治,给了我第二次生命。”在瑞金医院心脏外科,她成为全国首位在心脏不停跳状态下,植入国产DuoCorTM双心室辅助装置的患者,为她濒临停摆的生命按下了重启键。

点击图片阅读原文
复杂主动脉夹层不开胸?全国首例新技术,这群医生在钥匙孔里“搭积木”
凌晨突发胸背疼痛,心率增快,严重的主动脉夹层,随时可能因血管破裂导致猝死!怎么办?生死关头,瑞金医院心脏外科主任赵强教授团队采用全国首创的“胸主模块化单分支支架(TBE)”技术,成功完成高难度血管重建手术,为患者打开了生命通道。这也是该技术全国首次应用,复杂主动脉疾病有了微创治疗的新选择。

点击图片阅读原文
一场手术,她的糖尿病不用再“终身服药”
64岁的韩阿姨过去一年总觉得自己“不对劲”:明明按时服药、控制饮食,血糖却像脱缰的野马,常常飙到临界值以上。镜子里的自己越来越陌生:鼻翼变宽、嘴唇肥厚,手指关节粗大,连戒指都戴不进去了。韩阿姨在瑞金医院复诊时,一句无心之言引起医生警觉:“最近连说话都有点含糊了,邻居说我像变了个人。

点击图片阅读原文
“小下巴”竟然是种遗传病?瑞金医院教你“斩断”这种遗传缺陷
2023年,杜女士怀孕4个多月时,医生在大排畸检查时表情严肃地看着屏幕,半晌才开口:“胎儿的情况不太乐观,肺动脉瓣狭窄、小下颌畸形、手脚发育异常,这可能是基因出了问题。”随后,基因检测的结果证实了医生的猜测:她和胎儿都携带了一种名叫SF3B4的基因突变。

点击图片阅读原文
以为是个肺结节,没想到是个“定时炸弹”
今年8月中旬,28岁的王女士(化名)在家中突然咳出鲜血,起初觉得只是咽喉炎或空气干燥引起的。没想到连着咳血,她赶紧前往当地医院就诊,胸部CT提示:左肺下叶约1.6 cm结节影,医生初步考虑为“结核球”。

点击图片阅读原文
血管“盾构机”来了,这项新技术可以精准切除血管内斑块
43岁的徐先生作为家里的顶梁柱,工作压力大,不仅有长期吸烟习惯,还合并糖尿病且控制不佳。此前因“下肢间歇性跛行”在外院实施了股动脉到腘动脉全程支架植入术,可没多久症状就再次复发,甚至发展到夜间脚疼到无法入眠。多番打听后,徐先生来到瑞金医院嘉定院区血管外科冯家烜副主任医师的专家门诊寻求治疗。

向善 向上 向发展
编辑丨祁洁
