


全国爱鼻日(4月12日)来临,上海市儿童医院依托多学科协作(MDT)联合电磁导航辅助鼻内镜技术,成功为多名疑难鼻颅底病变患儿完成高难度微创手术,标志着儿童复杂鼻部疾病诊疗进入精准、安全、微创新阶段。
很多人以为鼻子只是“闻气味、通气”的简单器官,当我们聊起孩子的鼻子,多数家长首先想到的是感冒、鼻炎、鼻出血等小毛病。很多时候,确实没大问题,但有时候,真的不一样。
孩子的鼻腔比想象中的复杂,它的周围紧紧相邻着很多含气的小房间,像一个立体迷宫,我们称为鼻窦,鼻窦的上方是颅底和大脑,外侧是眼睛,深部有重要的血管和神经。正因为如此,有些病变悄然生长在孩子的鼻腔、鼻窦,甚至延伸到眼眶、颅底,一旦扩散,治疗难度和风险都极大。
小航,9岁男孩,因“右鼻塞3个月,右面部渐进性膨隆”来诊。起初以为是鼻炎,当地医院治疗了两个月,没有改善。鼻内镜检查发现右侧鼻腔巨大灰红色肿物,增强MRI显示是一个血供丰富的肿瘤,已侵犯翼腭窝、颞下窝、眼眶及颅底,压迫视神经和颈内动脉。需要手术切除,但是手术风险大,出血多,我们立即启动MDT:影像科:完成高分辨率增强CT/MRI,构建导航模型;眼科:评估眼球运动的情况和视力;神经外科:评估肿瘤对颅内的影响;心内科:血管介入,术前栓塞肿瘤主要供血动脉;耳鼻喉科:在电磁导航辅助下,通过鼻内镜切除肿瘤,并修复颅底缺损。手术非常成功,小航的肿瘤被完整切除,面部恢复正常且无任何疤痕。

图 1 小航肿瘤范围示意图
为什么需要MDT?
MDT(Multidisciplinary Team,多学科协作诊疗),面对复杂的鼻腔鼻窦鼻颅底病变,单靠一个科室远远不够。上海市儿童医院已建立多学科协作诊疗(MDT)机制,由耳鼻喉科、神经外科、心内科、血液科、影像科、眼科、麻醉科等多学科专家组成团队,针对每一位疑难患儿召开联合会诊,制定个体化诊疗方案,实现“患者不动,专家联动”。 各学科协同发力,各司其职。
耳鼻喉科:诊疗核心,负责鼻内镜检查、制定手术方案、经鼻手术操作,在导航辅助下完成病变切除及术后鼻腔功能重建;
影像科:通过CT、MRI检查清晰呈现骨质结构和软组织范围,预判手术路径,并为导航系统提供高精度数据;
心内科:对富血供病变行血管栓塞,减少手术出血量,应对术中急诊止血;
神经外科:联合耳鼻喉科切除颅底病变、重建颅底,保护颅内重要结构;
眼科:评估眼眶相关结构受累情况,术后监测视力变化;
血液科:为恶性病变患儿制定化疗方案,协调手术、放化疗顺序;
麻醉科:保障手术麻醉安全,术后ICU监护,助力患儿平稳恢复。

图 2 上海市儿童医院鼻腔鼻窦鼻颅底疾病的多学科协作诊疗示意图
什么是电磁导航辅助鼻内镜技术?
如果说MDT是“团队作战”的战略保障,那么电磁导航辅助鼻内镜技术,就是我们手中的“精准武器”。它就像给医生装上了“体内GPS”,让原本复杂的儿童鼻窦鼻颅底手术,变得精准、安全、微创。
技术原理:1.术前建图:将患儿CT/MRI影像数据导入导航工作站,计算机重建鼻腔、鼻窦、颅底三维立体图像;2.注册配准:在患儿头部设置参考框架,将真实解剖位置与影像数据精准匹配;3.实时导航:手术器械末端装有电磁传感器,系统实时追踪器械位置(精度误差小于2毫米),屏幕同步显示器械位置、与重要结构的距离、病变边界等信息。
为什么需要使用电磁导航?
首先,鼻科手术属于小视野手术,尤其容易造成小功能区的大创伤,鼻窦深部及鼻颅底有很多重要的血管和神经,尤其肿瘤侵犯较广的患者,原有的鼻腔内生理结构被破坏,从而提升了手术的难度与风险。
其次,儿童不是缩小版的成人,儿童的鼻腔空间狭小,手术操作难度高于成人;儿童颅底骨质菲薄,容错空间极小;儿童正在发育,颅底解剖个体差异大,且需要最大程度保护正常组织,避免影响面部骨骼发育。
电磁导航技术能协助术者在术中确认重要的生理结构,规避手术风险,提升手术效率及手术效果。

图 3 电磁导航使用示意图

1
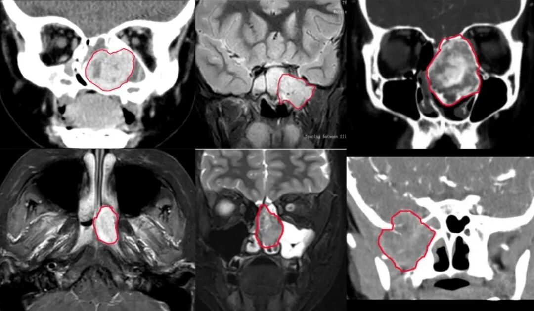
儿童鼻腔鼻窦鼻颅底的常见病变有哪些?
儿童鼻部病变种类多样,从先天性到恶性肿瘤均有可能出现,家长需提前了解,做到心中有数:
先天性病变:脑膜脑膨出(易误诊为息肉)、鼻中线囊肿、鼻腔畸胎瘤(多见于新生儿,可导致呼吸困难);
炎症性病变:上颌窦后鼻孔息肉、慢性鼻窦炎伴鼻息肉、真菌性鼻窦炎、;
良性肿瘤:血管瘤、青少年鼻咽纤维血管瘤(好发于青春期男孩,血供丰富,手术出血风险高)、骨化纤维瘤/骨瘤、骨母细胞瘤;
恶性肿瘤:横纹肌肉瘤(儿童头颈部最常见恶性肿瘤)、淋巴瘤、嗅神经母细胞瘤、转移性肿瘤(如腹部神经母细胞瘤转移)。

图 4 不同类型的鼻腔鼻窦鼻颅底病变示意图
2
有哪些情况需要引起重视并及时就诊?
孩子出现以下症状时需要引起重视并及时就诊检查:1. 长期单侧鼻塞,用药无效;2. 反复单侧鼻出血,量多难止;3. 一侧眼球突出或眼睑肿胀;4. 进行性视力下降;5. 持续头痛,部位固定;6. 面部不对称,局部隆起;7. 嗅觉明显减退或丧失。简单概括:凡是“单侧”“持续性”“进行性加重”的鼻部症状,都必须及时就诊。
医学在进步,多学科协作让每一位患儿都能得到全方位守护,电磁导航技术让手术更精准、更安全。值此爱鼻日,我们向广大家长发出倡议:重视儿童鼻部健康,主动学习鼻部保健知识,日常做好鼻部护理,发现孩子有鼻部异常症状及时就医不拖延,相信科学诊疗,为孩子的鼻部健康保驾护航。
供稿 | 浦诗磊
审核 | 徐宏鸣
编辑 | 严 钦