用户名:
密 码:
验证码:
看不清
忘记密码?
模糊搜索
作者搜索
标题搜索
正文搜索
摘要搜索
查看新版>>
登录
注册
首页
视频
在场
观观观察局
文汇视讯
文汇艺术
文汇大家聊
文汇馆长说
文汇青年营
潮探007
冲呀花花采访团
魔都三棱镜
汇演
艺见
许蜜桃
我不是唐亿森
速瞰天下
书人茶话
顾问天下
上海时刻
晏秋秋
江江三人行
饭小兔的美学洞窟
Biu比由
文汇科代表
解放日报谢飞君
政情
@康平路
直通200号
伴公汀
上海一周
反腐记
抗战·上海寻迹
交汇点
市政厅
经济
财经连线
产业观察
金融区块链
流量研究所
市场解码
任我行
产经
市场
城生活
财经
城事更新
文化
文旅乐游
文化观澜
文艺清单
文化视点
独家探班
观众席
片场视听
文汇人文之城
台前幕后
文化生活
副刊
新民艺评
朝花时文
海上记忆
上书房
笔会
文汇文艺评论
文汇文艺百家
文汇读书
夜光杯
民生
民声直通车
上海辟谣平台
人民建议
读者
城市的味道
帮侬忙
上海滩
民生调查
侬好上海
谈天
区情
浦江眼
前沿风
郊野笔记
上海屋檐下
海上755
区域
Yeah!上海
十六区
郊野大地
评论
观见
时评
文汇时评
视点
新民眼
思想
上观学习
思想汇
学林
论苑
文汇智库
文汇学人
文汇讲堂
深度
纵深
原点
申观察
科创
创新之城
科创前沿
科学新知
科科哒
教卫
教育在线
文汇教育
教育星球
学堂有名堂
医声医事
哎哟不怕
健康生活
第医线
康健园
医本正经聊天室
体育
运动+
文汇体育
新民体育
新民场外音
厉苒苒
社会
说法
案页
十二公民
新瞰点
新民法谭
新音频
长三角
华东局
江南
城市志
要闻
时政要闻
国内
港澳台
北京来信
山海情
风物
京华传真
国际
世界观
大局观
海外惊奇
文汇环球
国际视点
深海区
侨梁
浩峰说
天下
早读
纵览
时事
话媒堂
上官河
汇闻
新民早报
视觉
图数图说
见识录
大视界
数据洋葱
文汇视觉
图个明白
新民印象
直播
文学报
新批评
文学现场
世界文学
品牌
健面谈
文创+
大区势
企示录
一起来
科创上海
微观上海
车天下
品牌汇
教育汇
文旅在线
新民汇
新民亲选
援疆风采
喀什风情
爱我国防
新民小记者
万象
专题
直播
上观号
电子报
解放日报
文汇报
新民晚报
上海日报
新闻晨报
上海法治报
社区晨报
东方体育日报
文学报
浦东时报
新民周刊
上海宣传通讯
我的位置:
首页
>
上观号
心灵突击,破解监房深夜哭泣……
这里是上海市监狱管理局的上观号。上海市监狱管理局是负责全市监狱工作的行政机构,主要承担对罪犯执行刑罚,进行思想教育、文化教育、技术教育和劳动改造,将罪犯改造成为守法公民的任务。
上观号:上海监狱 2025-10-22
霜降|登高赏秋色,练最强体魄
这里是上海市体育局的上观号。申城热门运动话题、全民健身热潮尽收眼底;上海精彩赛事、健儿拼搏风采尽数掌握;公共场馆开放、免费培训信息一键便知。还有大把福利等你来,小体将不定期推出免费体验、赛事门票,动起来,快来围观吧!
上观号:上海体育 2025-10-22
长风破浪会有时!这支青少年帆船帆板队招生啦
这里是上海市体育局的上观号。申城热门运动话题、全民健身热潮尽收眼底;上海精彩赛事、健儿拼搏风采尽数掌握;公共场馆开放、免费培训信息一键便知。还有大把福利等你来,小体将不定期推出免费体验、赛事门票,动起来,快来围观吧!
上观号:上海体育 2025-10-22
第二现场!山东鲁能VS上海海港观赛招募,享超值观赛礼遇
这里是上海市体育局的上观号。申城热门运动话题、全民健身热潮尽收眼底;上海精彩赛事、健儿拼搏风采尽数掌握;公共场馆开放、免费培训信息一键便知。还有大把福利等你来,小体将不定期推出免费体验、赛事门票,动起来,快来围观吧!
上观号:上海体育 2025-10-22
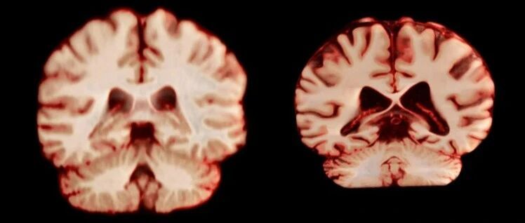
阿尔茨海默病为何“偏爱”女性?
这里是上海市科学技术协会的上观号。让我们一起来分享科学信息,享受科学生活,主张科学态度,共建科技工作者之家。
上观号:上海科协 2025-10-22
“鬼才作家”马伯庸:妻儿助我写《长安的荔枝》
这里是上海市妇女联合会的上观号。时代温度,女性主张,生活话题,海派风尚。这是一个秉持个性、彰显知性的上观号,为你优雅而来。
上观号:上海女性 2025-10-22
无废城市|普陀区深化“无废城市”建设,上海月星环球港打造绿色商圈样板
这里是上海市生态环境局的上观号。传递环境信息,共享绿色生活。
上观号:上海环境 2025-10-22
更智能了!这项补贴时间延长,总额度增加!
这里是上海市闵行区的上观号,欢迎关注!
上观号:今日闵行 2025-10-22
【涨知识】一文了解个人所得税稿酬所得及常见问题
这里是国家税务总局上海市税务局的上观号,发布最新政策。
上观号:上海税务 2025-10-22
文来初中:打造未来学校新样态
这里是上海市闵行区的上观号,欢迎关注!
上观号:今日闵行 2025-10-22
2025年度下半年上海市教育考试院各类考试信息一览
这里是上海市宝山区的上观号,欢迎关注!
上观号:上海宝山 2025-10-22
种出满满生机,家门口“治愈绿”超吸睛!
这里是上海市宝山区的上观号,欢迎关注!
上观号:上海宝山 2025-10-22
以法之名,共护青春!援疆检察官喀什普法记
这里是上海市人民检察院的上观号,向公众主动推送检务公开信息等。
上观号:上海检察 2025-10-22
就在杨浦这个公园!2025年中国桨板球公开赛即将点燃金秋
这里是上海市杨浦区的上观号,欢迎关注!
上观号:上海杨浦 2025-10-22
金价,突然大跌
这里是上海市消费者权益保护委员会的上观号。宣传消费维权法律法规,提供消费知识,发布消费预警信息、比较试验和行业调查信息等。
上观号:上海市消保委 2025-10-22
微信三大新功能悄悄上线!网友提出了新要求
这里是上海市消费者权益保护委员会的上观号。宣传消费维权法律法规,提供消费知识,发布消费预警信息、比较试验和行业调查信息等。
上观号:上海市消保委 2025-10-22
价格炒到上万元!上海年轻人入坑:一“盘”不可收拾!医生提醒↗
这里是上海市消费者权益保护委员会的上观号。宣传消费维权法律法规,提供消费知识,发布消费预警信息、比较试验和行业调查信息等。
上观号:上海市消保委 2025-10-22
上海到北京2.5小时,可能性大吗? “全球最快高铁”已在运用考核
这里是上海市消费者权益保护委员会的上观号。宣传消费维权法律法规,提供消费知识,发布消费预警信息、比较试验和行业调查信息等。
上观号:上海市消保委 2025-10-22
胖东来宣布:设立开放日,每人收费2万元!
这里是上海市消费者权益保护委员会的上观号。宣传消费维权法律法规,提供消费知识,发布消费预警信息、比较试验和行业调查信息等。
上观号:上海市消保委 2025-10-22
确定了!上海德云社马上开业!郭德纲将现身↗
这里是上海市消费者权益保护委员会的上观号。宣传消费维权法律法规,提供消费知识,发布消费预警信息、比较试验和行业调查信息等。
上观号:上海市消保委 2025-10-22
上一页
341
342
343
344
345
346
347
348
349
350
下一页
上海辟谣平台
上海2021年第46届世界技能大赛
上海市政府服务企业官方平台
上海对口援疆20年
举报中心
网上有害信息举报专区
关注我们
客户端下载